For basic 2D imaging needs.

User interface provides guidance
The full-colour graphical user interface provides clear texts and symbols to guide you through your procedure.
Settings are logically grouped and easy to understand, speeding up imaging and allowing you to focus on positioning your patient correctly and communicating with them.
Easy patient positioning
Open patient positioning and side entry minimise errors caused by incorrect patient positioning by allowing you to monitor the patient freely from both the front and side. Side entry allows easy access for all patients – standing or seated.
Patient positioning is assisted by our triple laser beam system, which indicates the correct anatomical positioning points.
All the imaging programs you need

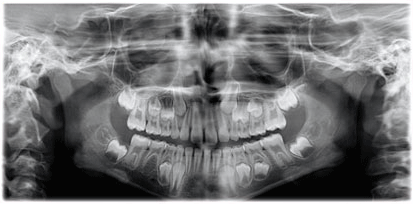
Panoramic imaging
Standard panoramic program.
Extraoral bitewings
The Bitewing program uses improved interproximal angulation geometry. The result is a bitewing image pair with low patient dose and excellent diagnostic quality.
Sinus imaging
The Sinus programs provide a clear view of the maxillary sinuses.
Horizontal and vertical segmenting for panoramic program
With the Horizontal and vertical segmenting program, exposure can be strictly limited to the diagnostic region of interest. Patient dosage is reduced by up to 90% compared to full panoramic exposure.
TMJ imaging
The TMJ imaging programs produce lateral or posteroanterior views of open or closed temporomandibular joints. The imaging position can be adjusted to correspond to the anatomy of each individual patient.
Child mode for reduced dose
Child mode reduces the patient dose remarkably for all programs by reducing the imaging area and exposure values. In the panoramic program the focal layer can also be narrowed.
Easy upgrade from 2D to 3D
Planmeca ProMax® – future proof and a great investment
Planmeca ProMax® 2D is designed with upgradeability in mind. The unit’s modular structure allows easy conversion to different imaging modalities, while the software-driven SCARA is extremely flexible, allowing you to benefit from new imaging projections.
Whether you’re upgrading your 2D unit to 3D, or adding a cephalometric arm, Planmeca has the right solution for you. Individual options can be installed before delivery or added later, making Planmeca ProMax the most versatile all-in-one X-ray unit available.
